Board Certified
ENT & Facial Plastic Surgeon

Understanding Sinonasal Tumors

What are sinonasal tumors?

Sinonasal tumors are abnormal tissue growths in the nose and sinus cavities, and can present with benign or malignant (cancerous) behavior. These tumors are incredibly rare, only accounting for approximately 3% of all the tumors that can grow in the respiratory tract.

What are the symptoms associated with sinonasal tumors?

  • Nasal obstruction
  • Nosebleeds (epistaxis)
  • Facial pressure/pain
  • Unexpected weight loss
  • Night sweats or chills

What is the difference between malignant and benign sinonasal tumors?

There are many types of sinonasal tumors, and categorized as benign or malignant. The primary difference between the two is determined by how they behave; malignant tumors have the ability to spread to other parts of the body and therefore more dangerous to your health than benign tumors.

BENIGN TUMORS
Benign tumors grow only within the confines of the nose or sinuses, and do not spread to other areas of the body. Although they do not invade other tissues or metastasize, they can still be problematic because they can grow enough to exert pressure on surrounding structures. This can cause severe symptoms if the benign tumor is, for instance, close to the brain or the eye.
  • Inverted papilloma
    These are benign tumors that typically originate from the walls of the nasal cavity, Unlike other benign tumors, they have microscopic finger-like projections that can dig into nearby bone. Inverted papilloma are three times more frequent in men than women, and most commonly occur in people over the age of 50. Some believe they are related to a human papillomavirus (HPV) infection. Because they tend to involve bone, complete resection including minor drilling is necessary to ensure the tumor does not return. Up to 10% of inverted papillomas can transform into a malignant tumor. For this reason, immediate surgical removal is always recommended.

  • Osteomas
    Osteomas are benign tumors that consist of solid bone. They are typically very slow growing and can usually be observed if they don’t cause any problems. However, there are times that osteomas can form near drainage pathways and can cause sinus infections. When this happens, it is recommended to have them surgically removed.

  • Sinonasal hemangiomas
    These are rare blood vessel tumors that originate within the lining of the nasal passages. These hemangiomas typically do not cause many problems but are commonly removed as they can obstruct your nasal or sinus passageways.


MALIGNANT TUMORS
Malignant (cancerous) tumors can also arise in the nose and sinuses, but are pretty rare. Squamous cell cell carcinoma is the most common type of cancer found in the nose, but others include adenocarcinoma, neuroblastoma, lymphoma, or melanoma. If the malignant tumor is found to be entering in parts of the brain or eye, the tumor will require skull base surgery which is typically performed alongside a Neurosurgeon.

How are sinonasal tumors treated?

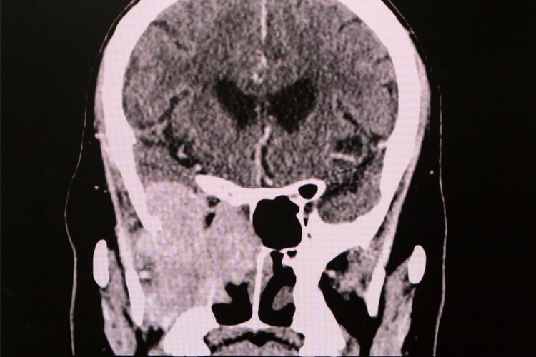
Initially, a biopsy performed in the office is required to confirm the type of tumor (benign versus malignant) and its grade (degree of mutation). Imaging (in the form of CT and MRI) is required to determine the spread. After this, the treatment plan will be developed. Malignant tumors in the sinonasal cavities, outside of lymphoma, will always require surgical removal and possibly require radiation +/- chemotherapy. However, these details will largely depend on the findings described above.

sinus-cancer-scan

Do you believe you are suffering from a nose or sinus tumor?

Contact

jefferson yardley otolaryngology

Yardley Location

Jefferson Otolaryngology
385 Oxford Valley Road #406
Yardley, PA 19067

Hours of Operation

Monday: 8 - 4:30PM
Tuesday: 8 - 4:30PM
Wednesday: 8 - 4:30PM
Thursday: 8 - 4:30PM
Friday: 8 - 4:30PM
Saturday: Closed
Sunday: Closed

Get in Touch

Phone: (215) 321-4020

drexel-broad-street

Yardley Location

Jefferson Otolaryngology
385 Oxford Valley Road #406
Yardley, PA 19067

Hours of Operation

Monday: 8 - 4:30PM
Tuesday: 8 - 4:30PM
Wednesday: 8 - 4:30PM
Thursday: 8 - 4:30PM
Friday: 8 - 4:30PM
Saturday: Closed
Sunday: Closed

Get in Touch

Phone: (215) 321-4020

drexel-broad-street

Torresdale Location

Jefferson Otolaryngology
3998 Red Lion Road #211
Philadelphia, PA 19114

Hours of Operation

Monday: 8 - 4:30PM
Tuesday: 8 - 4:30PM
Wednesday: 8 - 4:30PM
Thursday: 8 - 4:30PM
Friday: 8 - 4:30PM
Saturday: Closed
Sunday: Closed

Get in Touch

Phone: (215) 612-5390

drexel-broad-street

Torresdale Location

Jefferson Otolaryngology
3998 Red Lion Road #211
Philadelphia, PA 19114

Hours of Operation

Monday: 8 - 4:30PM
Tuesday: 8 - 4:30PM
Wednesday: 8 - 4:30PM
Thursday: 8 - 4:30PM
Friday: 8 - 4:30PM
Saturday: Closed
Sunday: Closed

Get in Touch

Phone: (215) 612-5390